Відкритий прикус
Ціна від 12 000 грнВідкритий прикус – варіант патології, адже утворення щілини між зубними рядами верхньої та нижньої щелепи заважає відкушуванню їжі та правильній артикуляції, а в складних випадках призводить до неможливості змикання губ, на фоні чого формується асиметрія обличчя. Часто ця аномалія спостерігається в дітей до 1 року.
Відкритий прикус: особливості та вплив на здоров’я
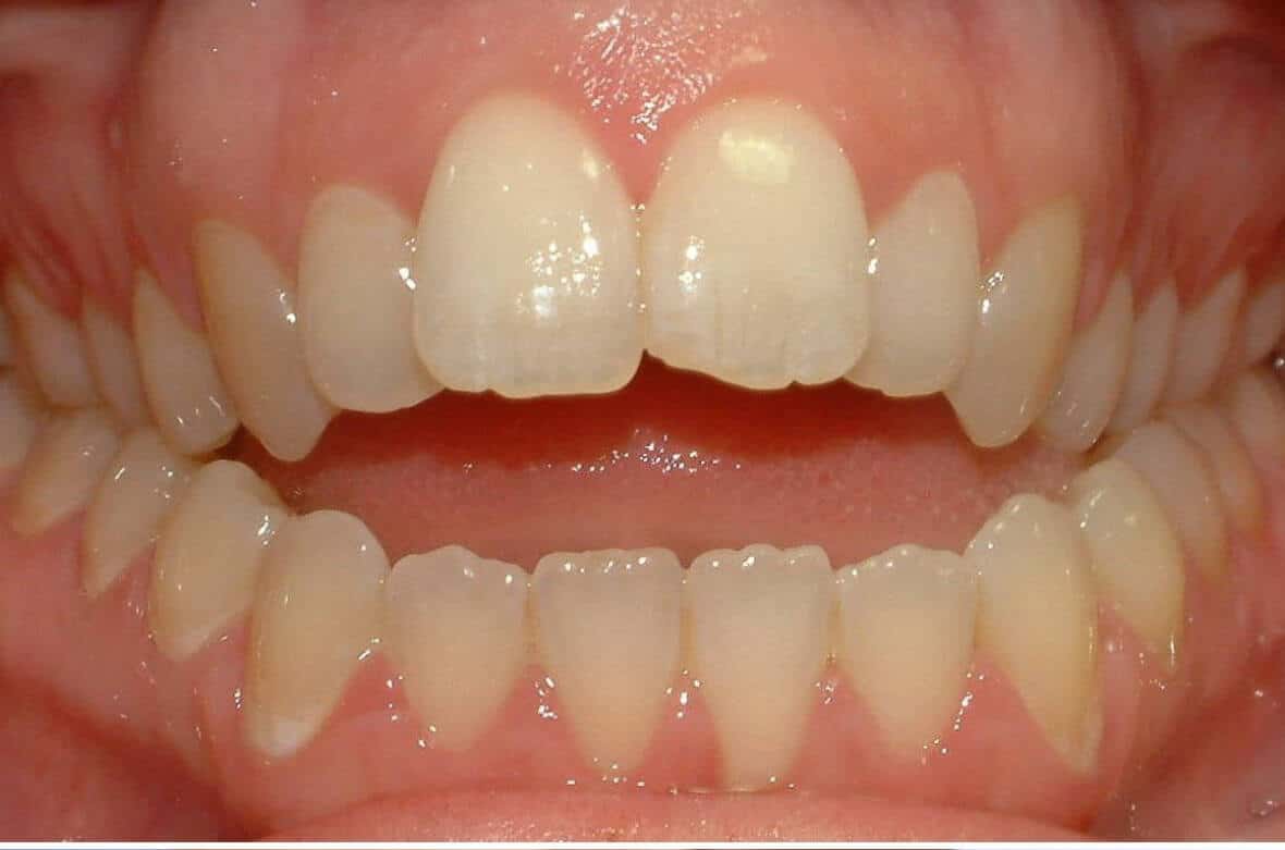
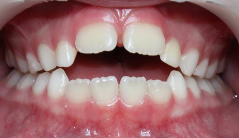
Відкритий прикус – відсутність змикання зубів верхньої та нижньої щелепи в бічному чи передньому відділі. Відповідно, розрізняють передній і бічний тип відкритого прикусу. Однак, незалежно від локалізації проблеми, вона потребує виправлення, адже значно заважає в повсякденному житті. Крім очевидної складності з відкушуванням і жуванням їжі та естетикою усмішки, через відкритий прикус розвиваються ЛОР-захворювання, патології ШКТ, дефекти мовлення та навіть психічні розлади на фоні комплексів щодо зовнішності чи/та труднощів у повсякденній комунікації.
Якщо розглядати стоматологічний бік проблеми, то відкритий прикус, як і інші дефекти змикання зубів, негативно впливає на загальне здоров’я ротової порожнини. Зубний ряд неправильної форми зі щілиною робить неможливим правильний розподіл жувального навантаження. За відкритого прикусу може спостерігатися звуження зубних дуг, часті каріозні ураження, патологічне стирання зубів, утворення дефектів коронкової частини зуба та різноманітні дисфункції суглобів щелепи. З огляду на велику кількість дефектів та їхню складність, необхідні комплексні методи лікування відкритого прикусу.
Ознаки відкритого прикусу
Часта ознака відкритого прикусу в дітей і дорослих – постійно привідкритий рот через складність тримати губи зімкнутими. У тяжких випадках спостерігається виражений гіпертонус м’язів обличчя, адже щелепи завжди перебувають у напруженому стані. Ця особливість відкритого прикусу призводить до дискомфорту та больових відчуттів, зокрема до головного болю. Ще відкритий прикус впливає на чіткість мовлення, адже людині важко вимовляти різні звуки, особливо, шиплячі та свистячі.
Загалом ознаки відкритого прикусу можна поділити на два типи:
- Лицеві. Відкритий прикус призводить до зміни рис обличчя. Зокрема, асиметрія проявляється опущеним чи скошеним підборіддям, укороченою верхньою губою, згладженими носогубними складками, млявою або навпаки перенапруженою нижньою губою, подовженою нижньою третиною обличчя, виступанням язика між зубами через відсутність змикання.
- Ротові. Головне порушення відкритого прикусу – вертикальна дизоклюзія, тобто щілина, що не дає зубам зімкнутися. Також часто спостерігається викривлення та неправильна форма зубного ряду, великі міжзубні проміжки, дефекти коронок.
Відкритий прикус у дітей, залишений без належного лікування, призводить до значних проблем уже в дорослих, адже аномалія розташування зубів нікуди не зникає з появою постійних зубних одиниць. Тому важливо провести діагностику цієї патології прикусу на ранній стадії. Однак зробити це може тільки досвідчений стоматолог. Відповідно, почати регулярно відвідувати лікаря з дитиною потрібно з появою перших молочних зубів. У разі аномалій розвитку щелепи та прикусу можлива корекція вже з 3-річного віку.
Причини розвитку відкритого прикусу
Серед причин розвитку відкритого прикусу часто називають генетичні чинники, тобто спадкову схильність до певної анатомії щелепи та форми зубного ряду. Однак лікарі дають великий перелік зовнішніх і внутрішніх причин, що формують відкритий прикус. Зокрема, це деякі тяжкі захворювання, перенесені в дитячому віці. Наприклад, рахіт призводить до розвитку глибокого відкритого прикусу, коли передні верхні зуби сильно виступають уперед і перекривають собою нижній зубний ряд.
Серед розповсюджених причин, через які формується відкритий прикус:
- травми;
- гормональні збої;
- смоктання пальця в дітей;
- порушення обмінних процесів;
- аномалія зачатків постійних зубів;
- патології внутрішньоутробного розвитку плоду;
- дефіцит мінералів і вітамінів, особливо, вітаміну D, кальцію тощо;
- деякі захворювання внутрішніх органів (наприклад, печінки та нирок).
Відкритий прикус у дорослих – частий наслідок того, що в дитячому віці батьками була проігнорована профілактика та необхідність регулярних консультацій зі стоматологом. Періодичні огляди ротової порожнини в лікаря дають змогу своєчасно виявити розвиток проблеми та виправити прикус, поки для його корекції ще не потрібне встановлення брекет-системи чи тим паче хірургічне втручання.
Різновиди відкритого прикусу та ступені тяжкості патології
В ортодонтії відкритий прикус ділиться на передній і бічний. Найчастіше в дорослих і дітей трапляється передній відкритий прикус, коли щілина утворюється у фронтальній зоні та охоплює 4-8 передніх зубів верхньої та нижньої щелепи. У деяких випадках цей дефект може супроводжувати інші захворювання та порушення. Бічний відкритий прикус характеризується дизоклюзією в бічному відділі зубного ряду. Аномалія може бути з одного чи обох боків (одно- чи двосторонній бічний відкритий прикус).
Також в ортодонтії є класифікація відкритого прикусу за шириною щілини між зубами верхньої та нижньої щелепи: до 5 мм – 1 ступінь, 5-9 мм – 2 ступінь, понад 9 мм – 3 ступінь. У будь-якому випадку необхідне комплексне лікування відкритого прикусу, щоб усунути всі фізіологічні та візуальні ознаки проблеми.
Як відкритий прикус впливає на організм
Наявність відкритого прикусу спричиняє не тільки такі візуальні недоліки, як асиметрія обличчя чи низька естетика усмішки. Він потребує виправлення через неможливість нормально харчуватися. Проблеми із жуванням провокують різні захворювання ШКТ. Їжа, що потрапляє до шлунку великими шматками, погіршує травлення. У результаті вже потрібне лікування гастриту, виразкової хвороби та інших розладів.
Які ще порушення спричиняє відкритий прикус:
- Патології органів дихання. Постійно відкритий рот – додаткове навантаження на дихальний апарат. Зокрема, в деяких людей спостерігається вимушене дихання, через яке збільшується навантаження на легені.
- Психологічні розлади. Асиметрія обличчя значно впливає на зовнішність, через що виникають комплекси, невпевненість у собі та психологічні проблеми.
- Дефекти суглобів щелепи. Це порушення частіше трапляється у дорослих та проявляється характерним клацанням щелепи, спинним (у шийному відділі) та головним болем. Усе тому, що без своєчасного лікування відкритого прикусу скронево-нижньощелепний суглоб швидко зношується.
- Стоматологічні захворювання. Без корекції прикусу значно вищий ризик карієсу, пародонтозу й інших хвороб ротової порожнини.
Виправлення відкритого прикусу в дорослих потребує тривалого часу та значних витрат, особливо в складних випадках, коли необхідне хірургічне втручання. Тому найкращий спосіб запобігти проблемі – профілактика, починаючи з етапу внутрішньоутробного розвитку. Вагітній потрібно дотримуватися всіх рекомендації лікаря та не допускати дефіциту вітамінів і мінералів. У дитячому віці профілактика передбачає правильне годування немовляти, своєчасні дії для корекції шкідливих звичок (смоктання пальця тощо), візити до дитячого стоматолога двічі на рік, починаючи з появи перших зубів.
Діагностика та лікування відкритого прикусу
Лікування не можна розпочинати без постановки точного діагнозу. Навіть за наявності характерних візуальних ознак відкритого прикусу, ортодонт має провести обстеження, щоб своєчасно виявити чинники, які можуть перешкодити терапії. Зокрема, в дорослих ортодонтичні маніпуляції часто потребують попереднього видалення зубів мудрості. До найінформативніших методів діагностики належать рентгенографія та КТ щелепи.
Якщо діагностовано відкритий прикус, лікування може передбачати:
- Виправлення прикусу за допомогою міогімнастики. Це вправи для корекції роботи жувальних м’язів, що дають гарний результат у дитячому віці. Однак зазвичай вони призначаються разом з іншими методами лікування. У дорослих ця техніка може зняти гіпертонус м’язів і виправити положення язика.
- Встановлення брекет-системи. Брекети носяться 1,5-3 роки залежно від типу прикусу та складності дефектів. Сучасні системи дають змогу досягти бажаного результату в будь-якому віці. Лікування відкритого прикусу брекет-системою – найефективніший метод для дорослих навіть за складних дефектів.
- Носіння елайнерів. Прозорі капи мають механічний принцип впливу на зуби, як і брекети, але таке виправлення прикусу відбувається щадним способом. Крім того, капи практично невидимі на зубах. Однак недоліком елайнерів є висока вартість та неефективність, якщо зубний ряд сильно викривлений.
- Хірургічне лікування. Якщо ортодонтичні апарати для лікування відкритого прикусу не можуть забезпечити бажаний результат корекції, тоді пацієнтові призначають хірургічне втручання – ортогнатичну операцію.
Відкритий прикус потребує комплексного лікування, якщо страждає на тільки зубний ряд, а й мовлення, органи дихання та травлення. Тоді потрібна допомога профільних спеціалістів: логопеда, отоларинголога, гастроентеролога.
Звертайтеся до клініки Ukrainian Dentist Club, якщо вас турбує патологічний прикус. У нас працюють ортодонти з високою кваліфікацією та досвідчені стоматологи-хірурги. Професіоналізм і використання новітніх технологій дають змогу усувати найскладніші дефекти прикусу та проходити лікування в комфортній атмосфері.
Як виправити відкритий прикус?
Є декілька методів корекції відкритого прикусу. Для вибору оптимального, залежно від складності дефекту, віку та інших чинників, треба звернутися до стоматолога.
Що буде, якщо не виправити відкритий прикус?
Відкритий прикус тягне за собою багато супутніх проблем, зокрема асиметрію обличчя, проблеми з мовленням, руйнування щелепних суглобів, захворювання органів дихання та ШКТ.
Які є методи корекції відкритого прикусу?
Відкритий прикус можна виправити за допомогою брекетів, елайнерів чи хірургічного втручання. У ранньому віці гарний результат дають вправи міогімнастики й ортодонтичні пластинки.


