pin

м. Київ, м. Палац Україна, Предславинська 39

Відкрити карту
Онлайн запис
Закрити close

Роботи наших фахівців

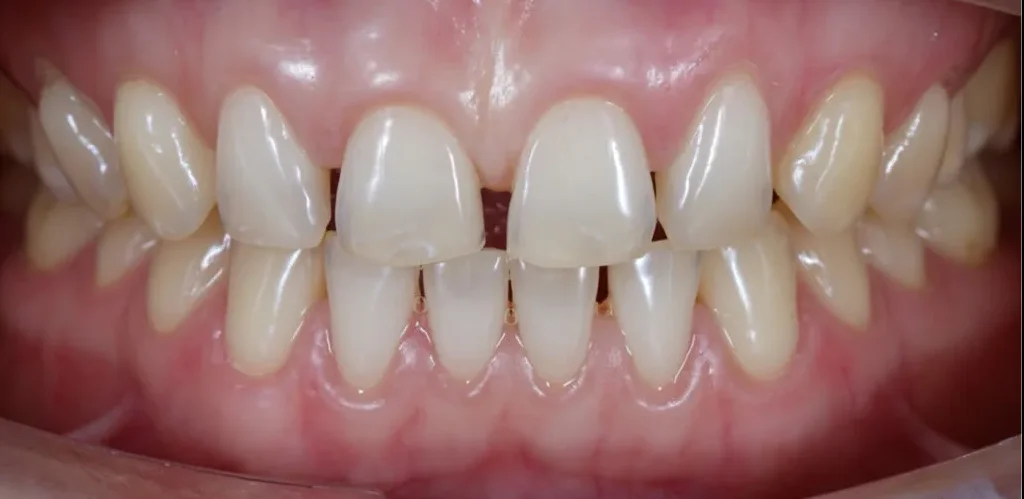
Відбілювання Beyond – нова усмішка за один візит

2 години дівчина
Загальна вартість: 5 900 грн
Читати повністю

Відбілювання після брекетів

жінка 28 років 1 візит
Загальна вартість: 5 900 грн
Читати повністю

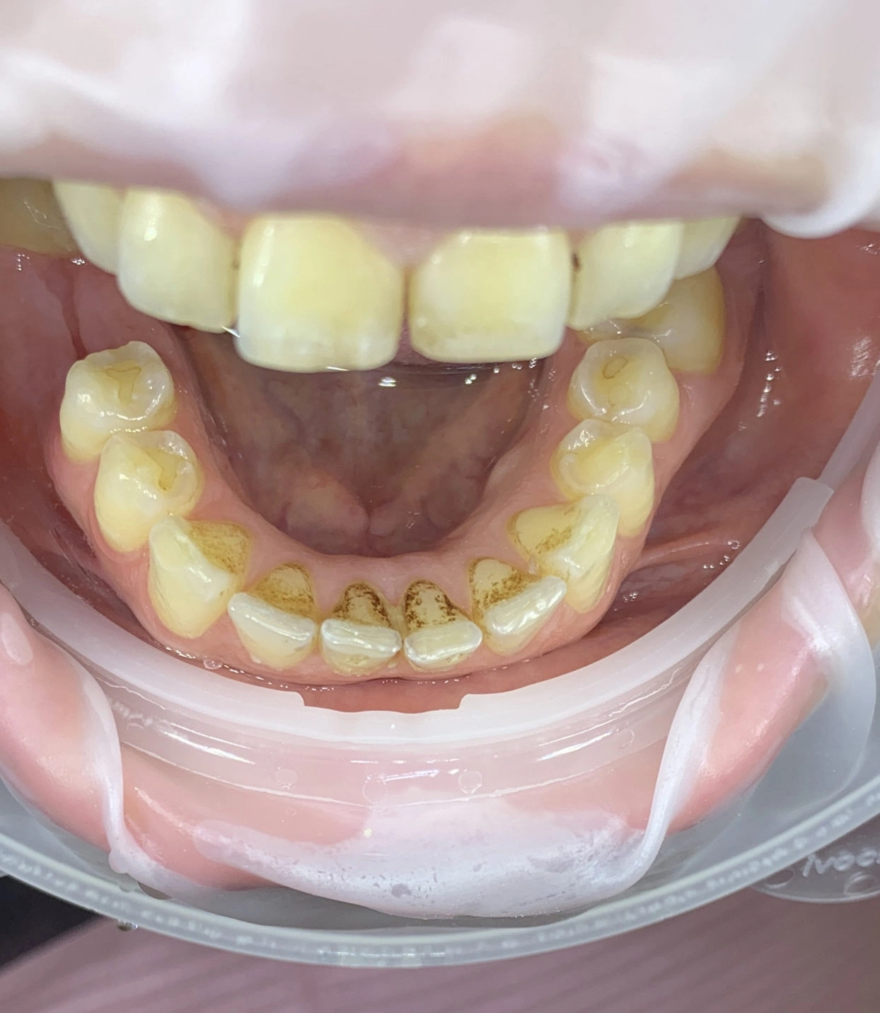
Планова комплексна чистка зубів

чоловік 27 років
Загальна вартість: 2 000 грн
Читати повністю

Лікування керамічними брекетами

чоловік 20 років 19 візитів
Загальна вартість: 43 000 грн
Читати повністю

Фотополімерна пломба ціна

жінка 25 років 1 візит
Загальна вартість: 2 850 грн
Читати повністю

Що краще вибрати – керамічні накладки чи пломба?

жінка 27 років 2 візити
Загальна вартість: 16 500 грн
Читати повністю

Вирівнювання зубів елайнерами

жінка 31 рік 3 візити
Загальна вартість: 120 000 грн
Читати повністю

Металокерамічна коронка, 21 зуб

Чоловік 49 років 2 візити
Загальна вартість: 11 500 грн
Читати повністю

Безпечне відбілювання Beyond

дівчина 21 рік 1 візит
Загальна вартість: 4 500 грн
Читати повністю

Щелепа на 4 імплантах (all on 4)

чоловік
Загальна вартість: 180 000 грн
Читати повністю

Дві щелепи на 6 імплантах (all-on-6), з цирконієвими коронками

чоловік 52 роки 14 візитів
Загальна вартість: 500 000 грн
Читати повністю

Тотальна реабілітація з патологічним стертям

чоловік 31 рік 6 візитів 62 дня
Загальна вартість: 250 000 грн
Читати повністю

Вініри для чоловіка 37 років

чоловік 37 років 5 візитів 21 день
Загальна вартість: 200 000 грн
Читати повністю
Запишіться
прямо зараз на консультацію

Вкажіть свій номер телефону, ми передзвонимо і підберемо для вас зручний час прийому.

    Записуючись на прийом ви даєте згоду на обробку своїх даних
    Doctor

    Або зателефонуйте нам самі:

    068 123 00 40 безкоштовно з мобільного
    close
    Записатись на прийом
    Наш менеджер звʼяжеться з Вами протягом 30хв

      Записуючись на прийом ви даєте згоду на обробку своїх даних
      Написати