Сучасні естетичні брекет-системи: переваги, різновиди та догляд
Ціна від 12 000 грнСучасні брекет-системи дають змогу проходити ортодонтичне лікування непомітно для оточення та з максимальним комфортом для самого пацієнта. Так, керамічні чи сапфірові брекети – чудова альтернатива, якщо не хочеться вирівнювати зуби звичайними металевими системами. Естетичні аналоги практично непомітні в ротовій порожнині, тому сильно не змінюють усмішку впродовж періоду виправлення прикусу.
Що таке естетичні брекет-системи (керамічні, сапфірові, поліуретанові)
Естетичні брекети – різновид ортодонтичних апаратів, що мають привабливий вигляд, якщо порівнювати зі стандартними металевими. Напівпрозора структура керамічних, сапфірових і поліуретанових брекетів – не єдина перевага для пацієнтів. Вони мають невеликий розмір, закруглені кути, що не травмують слизові оболонки, та гладеньку поверхню для зменшення накопичення зубного нальоту. Сучасні неметалеві брекети створені для високого психологічного та фізичного комфорту ортодонтичного лікування.
Чому естетичні керамічні та сапфірові брекети стають популярними
У сучасній стоматології збільшується запит на корекцію усмішки саме серед дорослих пацієнтів. Прогресивні методики дають змогу ефективно усувати дефекти прикусу в будь-якому віці. Однак для багатьох людей важливою є не тільки результативність терапії, а й зовнішній вигляд у процесі вирівнювання зубів. Особливо стосується це осіб, що ведуть медійну діяльність, часто ходять на відповідальні зустрічі, виступають на велику аудиторію тощо. А комусь може бути просто соромно та некомфортно носити звичайні металеві апарати. Саме для цього випускаються сучасні естетичні брекети.
Типи естетичних брекетів: керамічні, сапфірові, поліуретанові
Серед пацієнтів стоматологічних клінік добре відомий різновид керамічних брекетів. Вони виготовляються зі спеціального полікристалічного матеріалу, що може імітувати колір натуральної емалі та не виблискує. Керамічні брекети практично не змінюють вигляд зубів, не спричиняють дискомфорту в процесі ортодонтичного лікування та дають змогу виправляти навіть складні патології прикусу. Однак відсутність металевого паза в брекетів створює підвищене тертя між емаллю та зубом, що може збільшити тривалість періоду вирівнювання зубів, як порівнювати з металевими конструкціями.
Сапфірові брекети – стоматологічна новація. Для їхнього виготовлення використовують штучні сапфіри – монокристали оксиду алюмінію. Як і керамічні, вони відрізняються естетичністю, природним блиском і гігієнічністю. Гладка поверхня запобігає активному утворенню зубного нальоту, що зменшує ризик розвитку карієсу на ділянці кріплення брекетів до зубів. Сапфірові брекети не настільки міцні, як металеві, але достатньо, щоб витримувати щоденне жувальне навантаження.
Пластикові (поліуретанові) брекети на зуби візуально нагадують керамічні, хоча за якістю відчутно поступаються їм. Зате ціна дозволяє провести ортодонтичне лікування, якщо не вистачає бюджету на встановлення керамічних чи сапфірових систем. Брекети майже прозорі, тому їх не видно в роті. Однак матеріал схильний зафарбовуватися в разі частого вживання чаю, кави й інших продуктів з активними пігментами.
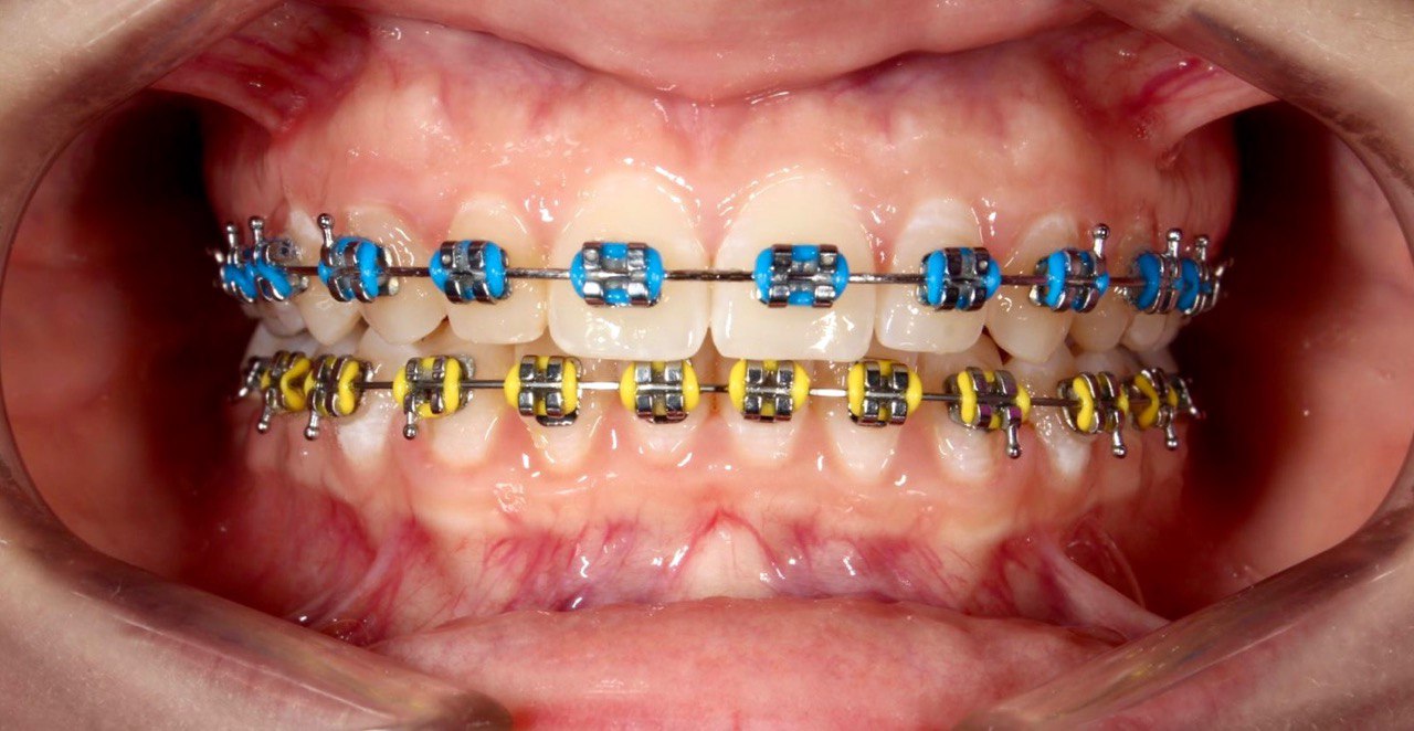
На непомітність ортодонтичної системи впливає тип фіксації дуги. За цим параметром брекети поділяються на лігатурні та самолігуючі (безлігатурні). У першому випадку для кріплення дуги керамічних чи інших брекетів використовуються гумки чи металеві лігатури. Самолігуюча брекет-система – це ортодонтичний апарат, де за утримання дуги відповідають спеціальні замочки. Відсутність лігатур робить керамічні та сапфірові самолігуючі брекети найестетичнішим різновидом.
Переваги для пацієнта, що надає самолігуюча брекет-система:
- відсутність потреби встановлювати помітні металеві чи гумові лігатури;
- можливість рідше ходити до стоматолога (не треба міняти лігатури);
- мінімум дискомфорту в процесі ортодонтичного лікування;
- швидше зняття брекетів (на кілька місяців);
- простіше чищення від зубного нальоту.
Самолігуючі керамічні та сапфірові брекети мають багато переваг, але пацієнт повинен пам’ятати, що така система буде дорожчою через складніший процес виробництва. Крім того, розмір замочків-брекетів більше на 1 мм, якщо порівнювати з лігатурними.
Розглядаючи естетичні керамічні та сапфірові брекети, варто згадати про елайнери – альтернативну ортодонтичну систему, що також пропонує високий рівень естетики. Це не брекети, а щільні прозорі капи з еластичних композитів, що одягаються на зуби. Перевага елайнерів – знімність, що значно спрощує чищення зубів та гігієнічний догляд загалом. Однак пацієнт повинен носити елайнери не менше 22 годин на день.
Основні плюси елайнерів:
- швидке звикання;
- безпечність для емалі;
- непомітність для вашого оточення;
- можливість самостійного зняття для гігієни та під час їжі;
- відсутність дискомфорту, адже гладенька поверхня не травмує слизову.
Брекети ефективні для ортодонтичного лікування в найскладніших випадках, однак мають «сліпі зони». Наприклад, ними не можна вирівнювати зуби мудрості. У таких ситуаціях використовуються елайнери. Серед переваг елайнерів варто зазначити не тільки знімність. Вони обходяться дешевше, ніж прозорі керамічні та сапфірові брекети. Однак важливо пам’ятати, що елайнери вирішують далеко не всі проблеми прикусу. Тому рішення, використовувати елайнери чи ні, приймається спільно зі стоматологом.
Переваги естетичних брекетів перед металевими
Брекети прозорі – чудовий спосіб вирівняти зуби, не змінюючи зовнішність, поки продовжується ортодонтичне лікування. Це оптимальний варіант для кожного пацієнта, який думає, що звичайні металеві брекети можуть зашкодити іміджу чи завадити вести медійну діяльність. Якщо елайнери не здатні впоратися з патологією прикусу, прозорі керамічні чи сапфірові брекети можуть стати виходом із ситуації.
Переваги перед металевими конструкціями на зуби:
- ефективне рішення, коли необхідно провести лікування непомітно для інших;
- високий результат корекції прикусу (діють, як і металеві брекети);
- швидке звикання без подальшого дискомфорту;
- 100 % біосумісність та гіпоалергенність.
Керамічні та сапфірові брекети мають низку переваг, однак пацієнт повинен пам’ятати, що матеріал виготовлення не такий міцний, як порівнювати з металевими аналогами. Тому необхідно дбайливо ставитися до апарату впродовж усього лікування.
Можливість фарбування матеріалу брекетів
Естетичні брекети доволі стійкі до фарбування, однак керамічні та сапфірові системи можуть змінювати колір під дією їжі та напоїв з активними барвниками (чаю, кави, червоних ягід та фруктів, шоколаду, солодощів, кольорових газованих напоїв тощо). Тому необхідно слідкувати за раціоном, чистити зуби після їжі та кожного перекусу. Варто сказати, що сапфірові прозорі брекети краще підходять для білої емалі, тоді як колір керамічних можна змінювати відповідно до натурального відтінку зубів.
Найгіршу стійкість до фарбування показують поліуретанові брекети. Матеріал швидко набуває забарвлення при споживанні чаю, міцної кави, палінні тощо. У цьому плані елайнери зручніші для пацієнта, адже доступні для зняття під час їжі та чищення зубів.
Вартість естетичних брекетів, порівнюючи з металевими
Сапфірова чи керамічна брекет-система коштуватиме помітно дорожче, ніж прості металеві брекети. Це зумовлено вищою ціною матеріалів та складністю виготовлення відповідної системи під зуби пацієнта. Також має значення тип дефектів зубного ряду. Для економії можна вибрати прозорі поліуретанові брекети.
Особливості догляду
Брекет-система керамічна, сапфірова чи пластикова не відрізняється за вимогами до гігієни ротової порожнини від металевої. Потрібно ретельно чистити зуби та елементи системи, щоб не допускати застрягання часточок їжі та накопичення зубного нальоту. Завдання пацієнта – очищати брекети навіть після перекусів. Важливо пам’ятати, що керамічні й інші естетичні апарати не такі міцні, як металеві.
Щоб не пошкодити брекети, треба вилучити з раціону:
- фрукти й овочі, які складно відкушувати (або подрібнювати перед вживанням);
- іриски, карамель і будь-які солодощі, що липнуть на зуби;
- їжу з активними натуральними та штучними пігментами;
- надто холодні та гарячі страви та напої;
- тверді снеки (сухарики, горіхи тощо);
- м’ясо (через волокнистість).
Щоб контролювати процес лікування та ефективність впливу керамічних чи інших естетичних брекетів, необхідно своєчасно відвідувати стоматолога. Іноді брекети треба підклеювати, підтягувати, коригувати силу натиску на зуби тощо. Елайнери також не звільняють регулярних візитів до лікаря, адже їх треба змінювати кожних 2-3 тижні.
Процес встановлення та адаптації до брекетів
Як елайнери, так керамічні чи інші брекети встановлюються після повної діагностики та спеціальної підготовки. Зуби пацієнта мають бути повністю здоровими, без слідів зубного нальоту та каменю. Для обстеження використовуються методи рентгенографії та 3D-сканування. Для зняття зубних відкладень проводять процедуру професійної гігієни. Це дозволяє забезпечити високий результат ортодонтичної терапії.
Схема, за якою встановлюються керамічні чи інші брекети, виглядає так:
- Діагностика та професійне чищення зубів.
- Нанесення захисного гелю для захисту емалі від руйнування.
- Нанесення стоматологічного клею та фіксація брекетів у визначених місцях.
- Встановлення дуги (протягування через кожен замок).
- Активація дуги (створення потрібного натягу для переміщення зубів).
Керамічні й інші естетичні брекети створюють менше дискомфорту під час звикання, ніж металеві. Однак це чужорідний елемент у ротовій порожнині, що впливає не тільки на зуби, а і всі щелепні структури (м’язи, зв’язки, кісткову та сполучну тканину). Тому в процесі адаптації в пацієнта зазвичай виникає неприємний ниючий біль, складнощі під час пережовування їжі, активне слиновиділення, погіршення дикції та подразнення слизової. У нормі помітний дискомфорт спостерігається приблизно тиждень та швидко зменшується. Тривалі больові відчуття – привід звернутися до лікаря, бо причиною може бути надмірний натяг дуги.
Підготовка до встановлення брекетів
Щоб встановити естетичні брекети (керамічні тощо) чи альтернативну конструкцію (як елайнери), треба проконсультуватися з ортодонтом. За потреби буде призначено лікування карієсу чи інших виявлених захворювань у стоматолога-терапевта. Далі лікар складає план ортодонтичної корекції відповідно до типу порушення прикусу в пацієнта. Наступна зупинка – стоматолог-гігієніст для професійної гігієни та фторування емалі (за показаннями). Часто для корекції прикусу рекомендується видалити зуби мудрості, що ростуть неправильно, тиснуть на сусідні моляри чи є ретинованими. Після заживання лунок можна встановлювати керамічні чи інші брекети.
Гігієна порожнини рота з брекетами
Пацієнт повинен дуже ретельно чистити зуби не лише вранці та ввечері, а щоразу після приймання їжі чи перекусу. Для повноцінного очищення брекетів потрібна спеціальна щітка, йоржики та флоси. Для кращої гігієни важкодоступних ділянок стоматологи рекомендують використовувати іригатор. Водночас чистити зуби треба акуратно, щоб запобігти відклеюванню брекетів та порушенню експозиції замків. Професійну гігієну в лікаря потрібно буде робити частіше – раз на 2 місяці чи за індивідуальним графіком.
Чинники, що впливають на успішність лікування брекет-системою
Основний чинник для бажаного результату ортодонтичної корекції – правильний підбір і встановлення системи. Другий – сумлінність пацієнта впродовж усього лікування. Треба дотримуватися рекомендацій стоматолога, слідкувати за гігієною, регулярно ходити на огляди до лікаря, носити елайнери чи ретейнери під час ретенційного періоду.
Підсумок про переваги та особливості естетичних брекетів
Зупинити вибір на естетичній брекет-системі рекомендується, якщо ви непокоїтеся щодо вигляду металевого апарату. Керамічні та сапфірові брекети майже непомітні в ротовій порожнині, зате забезпечують такий самий результат корекції прикусу, що й металеві. Вони виготовляються з гіпоалергенних матеріалів, тому повністю безпечні для здоров’я. Але треба враховувати вищу вартість прозорих ортодонтичних систем.
Рекомендації щодо вибору брекет-системи
З медичної точки зору естетичні (керамічні тощо) та металеві брекети однаково добре виконують завдання вирівнювання прикусу. Тому вибір залежить від персональних вимог щодо зовнішнього вигляду системи та бюджету. Водночас дітям частіше рекомендують металеві апарати, адже вони міцніші та надійніші, а підліткам і дорослим – керамічні та сапфірові, що не привертають зайвої уваги. Якщо для пацієнта велике значення має знімність конструкції, то в деяких випадках може бути раціональніше використовувати прозорі силіконові елайнери.
Чи можуть естетичні брекети змінювати колір?
Естетичні брекети змінюють колір у разі паління, частого вживання кави, кольорових газованих напоїв (коли, пепсі тощо), чорного чаю та продуктів з активними барвниками.
Чи болісно носити естетичні брекети?
Відразу після встановлення брекети можуть провокувати больові відчуття та травми слизової. Але поступово організм адаптується, а дискомфорт зникає.
Скільки коштують естетичні брекети, порівнюючи з металевими?
Залежно від обраного типу естетичні брекети коштуватимуть в 1,5-2,5 раза дорожче, як порівнювати з аналогічними металевими конструкціями.
Чи можна займатися спортом з естетичними брекетами?
Якщо планується займатися активними видами спорту, рекомендується встановлювати лінгвальні брекети – систему, що кріпиться до внутрішньої поверхні зубів. Їх не видно під час говоріння та сміху, а розташування запобігає травмам губ і ясен.
Чи можна використовувати естетичні брекети для дітей?
Дитячий вік не є протипоказанням до встановлення естетичних брекетів. Однак варто враховувати, що діти не завжди дотримуються рекомендацій лікаря щодо вживання твердої їжі та солодощів. Це може призвести до пошкодження апарату чи зміни його кольору. Тому часто доцільніше буде обрати міцнішу та стійкішу до фарбування металеву брекет-систему.



