Ортогнатичний прикус
Безкоштовна консультаціяПрикус зубів – положення, яке займають верхні зуби відносно нижніх, коли змикаються щелепи. У стоматології розрізняють різні фізіологічні види прикусу, одні з яких є варіантом норми, а інші належать до патологічних і потребують корекції. Ортогнатичний прикус зубів – приклад правильного змикання щелеп, який трапляється лише в 10% людей. Зазвичай він формується в процесі ортодонтичної корекції.
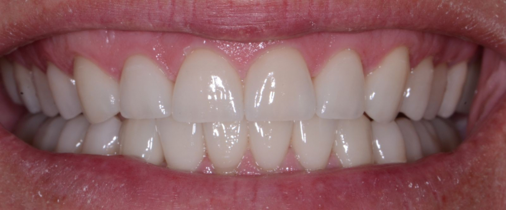
Що таке ортогнатичний прикус
Ортогнатичний прикус – це розташування зубних рядів так, що в процесі змикання щелеп верхні зуби створюють перекриття для нижніх на ⅓ висоти коронки. Для анатомії зубощелепної системи це найкраще положення, адже щелепи із зубами перебувають у симетричному та гармонійному положенні, а посмішка виходить естетичною. Крім того, людину не турбують функціональні порушення. Немає дискомфорту та болю в процесі пережовування та проковтування їжі, а також дисфункцій скронево-нижньощелепного суглоба, що часто проявляються клацанням, хрускотом і «застряганням» щелепи.
Ортогнатичний прикус зубів – це:
- Приваблива посмішка.
- Запорука правильної роботи всього щелепно-лицьового апарату.
- Профілактика багатьох стоматологічних проблем, захворювань ШКТ, порушень мовлення та головних болів.
Якщо в людини ортогнатичний прикус, ознаки також часто включають правильність пропорцій обличчя. Хоча це не є прямою характеристикою. Неправильний прикус може не впливати на симетрію рис обличчя, якщо дефекти розташування зубів виражені незначно. Для діагностики стану зубощелепної системи необхідно звернутися до стоматолога. Лікар визначить, чи потрібне вам ортодонтичне лікування.
Ідеальний прикус трапляється рідко, адже необхідно, щоб розвиток щелеп відбувався повноцінно та рівномірно на всіх етапах: від 0 до 6 місяців, до 3-х, 4-х, 6-ти та 15-ти років. Треба стежити за положенням язика та зубів і правильністю зміни молочних одиниць на постійні. Крім того, порушення прикусу можуть мати генетичну причину чи бути спровокованими особливостями внутрішньоутробного розвитку.
Правильний прикус зубів у дорослих: який він
Не варто ігнорувати необхідність відвідування стоматолога, навіть якщо здається, що у вас рівні зуби, що не потребують корекції. Спеціаліст перевірить розташування щелеп і зубних рядів та зможе вчасно помітити наявні проблеми із зубами. Він розповість, який правильний прикус і призначить ортодонтичне лікування в разі показань до нього. Але є кілька характеристик, за якими можна самостійно перевірити правильність змикання нижньої та верхньої щелеп перед походом до лікаря.
Ознаки ортогнатичного прикусу:
- Перекриття нижніх зубів верхніми до ⅓ висоти коронки.
- Змикання одного верхнього зуба з двома нижніми.
- Збіг середніх ліній обличчя та верхньої щелепи.
- Відсутність функціональних порушень у процесі жування.
- Відсутність явного висування верхньої чи нижньої щелепи вперед і порушень симетрії рис обличчя.
За ортогнатичного прикусу щелепи розташовуються паралельно. Водночас за формою нижня нагадує параболічну дугу, а верхня – півовал.
Часто люди вважають ознакою правильного розташування щелеп, коли спостерігається пряме змикання (краї зубів верхньої щелепи збігаються з краями зубів нижньої). Однак прямий прикус часто відносять до патологічних різновидів, хоча така посмішка доволі ефектна. Причина – прискорене зношення та руйнування обох зубних рядів.
Як формується прикус
Дізнатися, який має бути правильний прикус та контролювати його формування треба з перших місяців життя дитини. Кожна вікова група має особливості та ризики, внаслідок яких можна отримати неправильний прикус.
Умови формування правильного розташування зубів за віковими групами:
- Від 0 до 6 місяців. Правильне годування дитини забезпечує належний рівень навантаження на жувальні м’язи, що становить основу для гармонійного та правильного розвитку зубних дуг, верхньої та нижньої щелепи.
- Від 6 місяців до 3 років. Формується молочний прикус зубів. У цей період треба своєчасно відлучити дитину від пляшечки та пустушки, щоб розвиток нижньої щелепи не відставав від верхньої. Це профілактика висування останньої вперед. Ближче до 3 років анатомія зубощелепної системи вже має давати змогу повноцінно пережовувати «дорослу» їжу та чітко вимовляти всі звуки.
- 4 роки. Молочний прикус починає змінюватися перед появою постійних зубів. Тому необхідні періодичні огляди порожнини рота в стоматолога.
- 6-7 років. Починають рости постійні зуби та формуватися перекриття нижньої щелепи верхньою. У період змінної оклюзії часте явище – утворення щілин між зубами (діастеми, трем). Зазвичай вони зникають із віком, однак контролювати цей процес варто з ортодонтом. Також він стежитиме, щоб перекриття нижнього ряду зубів верхнім становило не більше, ніж ⅓ висоти коронки.
- До 15 років. Повністю формується постійний прикус зубів.
Ортогнатія неможлива в разі вроджених і спадкових аномалій зубощелепної системи. У цих випадках показаний початок ортодонтичного лікування з раннього віку. Корекція за призначенням стане запорукою правильного розташування зубів і відсутності різних супутніх захворювань порожнини рота. Неправильний догляд за зубами та ігнорування потреби регулярних оглядів у стоматолога з появою перших молочних зубів також може призвести до формування проблем, на фоні яких буде порушений прикус.
Переваги ортогнатичного прикусу для людини
Ортогнатичний прикус вимагає правильного розташування не тільки зубів, а й щелеп, щелепних м’язів і суглобів. Щоб не було передчасного зношення, навантаження під час жування має розподілятися на коронки зубів рівномірно. У протилежному випадку зуби поступово втрачатимуть міцність і руйнуватимуться через карієс, запалення ясен, клиноподібні дефекти та інші захворювання порожнини рота.
Переваги, які дає правильний прикус зубів:
- Захист дентальних тканин від передчасного зношення.
- Чітке артикулювання звуків, що зумовлює відсутність дефектів мовлення.
- Профілактика проблем із травленням, адже за правильного розташування зубів пережовування їжі відбувається повноцінно.
- Спрощення гігієнічного догляду за зубами, бо рівні зуби легше чистити. Водночас це найкраща профілактика карієсу, гінгівіту, пародонтиту тощо.
- Можливість проведення ортопедичного лікування та імплантації (за потреби) без попередньої ортодонтичної корекції.
- Приваблива усмішка та симетрія обличчя.
Однак ортогнатичний прикус – не гарантія повної відсутності проблем із зубами. Так, у деяких пацієнтів спостерігається скупченість (перекриття одного зуба іншим), діастема чи/та треми, що псують загальну естетику посмішки. Тоді призначається ортодонтичне лікування або застосовуються методи художньої корекції (зокрема, ставляться вініри).
Що робити в разі неправильного прикусу
Неправильний прикус потребує терапії, яка може тривати від кількох місяців до 2-3 років. Найефективнішим методом вирівнювання зубів залишаються брекети. Вони не тільки виправляють прикус, а й забезпечують корекцію рис обличчя, наприклад, коли спостерігається значне висування верхньої чи нижньої щелепи вперед. Сьогодні метод встановлення брекет-системи набуває все більшої популярності серед дорослих. Іноді брекети стають повноцінним елементом іміджу, адже за допомогою кольорових та естетичних сапфірових різновидів можна прикрасити зуби.
Серед інших способів виправити прикус:
- Ортодонтичні пластинки. Вони використовуються в дитячому віці, допомагаючи спрямувати ріст зубів і щелеп у правильний бік.
- Елайнери. Прозорі капи – найкомфортніший спосіб вирівняти прикус, адже це повністю атравматичний метод. Але елайнери дорогі, можуть впоратися далеко не з усіма дефектами та потребують високої самодисципліни.
- Хірургічне втручання. Операції проводяться за важких аномалій зубощелепної системи, коли виправити прикус неможливо навіть брекетами.
- Функціональні апарати. Системи призначаються дітям. Залежно від різновиду вони усувають м’язовий дисбаланс чи сприяють правильному росту зубів.
У ранньому віці гарний ефект дає міотерапія. Її завдання – не виправити прикус зубів, а запобігти можливим проблемам у майбутньому. Спеціальні вправи помітно зміцнюють м’язи обличчя та рота, що необхідно для корекції гіпотонусу та формування основи для гармонійного розвитку щелеп. Щоб міотерапія дала гарний результат, батьки мають ретельно контролювати процес занять і регулярно повторювати вправи з дитиною.
Як зберегти правильний прикус
Патологічний прикус – результат генетичних і зовнішніх чинників. Якщо перші змінити нам не під силу, то усунути другі допомагає корекція способу життя, уважний підхід до гігієни, здорове харчування та відмова від шкідливих звичок.
Зберегти ортогнатичний прикус допоможе:
- Своєчасне відлучення дитини від соски.
- Усунення таких звичок, як смоктання пальця, гризіння олівців тощо.
- Правильний раціон, що містить достатню кількість твердої їжі.
- Ефективне лікування захворювань дихальної системи, щоб запобігти ротовому диханню, через яке часто формується неправильний прикус.
- Використання ортопедичної подушки під час сну.
- Ретельне чищення зубів двічі на день з ополіскувачем і ниткою.
Аби повноцінно турбуватися про прикус, потрібне регулярне відвідування стоматолога. Ми завжди раді бачити вас у клініці UkrDentClub! Варто пам’ятати, що не тільки дорослі, а й дитячі зуби потребують процедур професійної гігієни. За такого комплексного підходу ваш прикус залишатиметься в нормі.
Питання-відповідь
Який прикус вважається правильним?
Стоматологи називають правильним ортогнатичний прикус.
Яке змикання зубів є нормальним?
Анатомічною нормою вважається, коли верхній зубний ряд перекриває нижній до ⅓ від висоти коронок. Водночас має бути правильною робота скронево-нижньощелепного суглоба та м’язів.
Як визначити проблеми прикусу?
За патологічного прикусу спостерігається нерівність чи/та скупченість зубів, проблеми зі щелепними суглобами (хрускіт, дискомфорт), головні болі, схильність до передчасного стирання та руйнування окремих одиниць чи всього зубного ряду, проблеми з гігієною.

