pin

м. Київ, м. Палац Україна, Предславинська 39

Відкрити карту
Онлайн запис
Закрити close

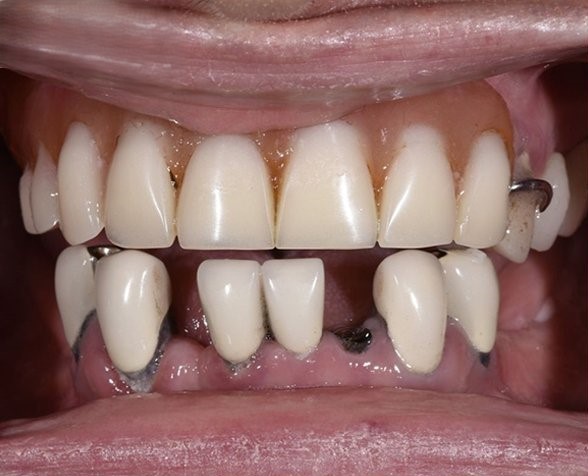
Комбінована реабілітація: 11 керамічних коронок і протез на 4 імплантах

Отримати консультацію
Проблема

Чоловік 55 років звернувся з бажанням відновити зуби, щоб нормально пережовувати їжу та не соромитися своєї посмішки перед рідними, на роботі та в товаристві.

Рішення

Ми рекомендували пацієнтові проходження повної діагностики, щоб визначитися, які зуби ще можна зберегти, а які потребують повного відновлення. За результатами всіх обстежень чоловікові була запропонована комбінована реабілітація з протезуванням коронками на верхній щелепі та повним протезуванням нижньої щелепи на імплантах. Тільки комплексний підхід у цьому клінічному випадку зміг виправити ситуацію, якісно відновивши жувальну функцію та естетику усмішки.

Етапи лікування
  • Назва етапу Вартість
  • Діагностика та планування терапії
    • Перший візит

      На першому етапі провели комплексну діагностику, зокрема КТ та панорамне (3D) сканування щелеп для подальшого цифрового планування DSD. Також використали технологію Wax up, щоб візуалізувати майбутній результат відновлення зубів.

      3 000 грн
  • Імплантація нижньої щелепи All-on-4
    • Другий візит

      Щоб підготуватися до хірургічного втручання, ми провели професійну гігієну порожнини рота для усунення зубних відкладень і мінімізації ризику бактеріального ураження після видалення зубів. Після цього виконали екстракцію зруйнованих зубів нижньої щелепи та встановили 4 імпланти для відновлення всього зубного ряду за технологією All-on-4. Достатній обсяг кісткової тканини та гарна первинна стабілізація штучних титанових коренів дала змогу відразу встановити тимчасовий протез на 4 імплантах на період до повної остеоінтеграції. Так було забезпечено жувальну функцію та естетику.

      135 000 грн
  • Лікування зубів верхньої щелепи
    • Третій візит

      На верхній щелепі часткового відновлення потребували 11 зубів. Відповідно, ми провели необхідне лікування, зокрема деякі одиниці вимагали ендодонтичного, та підготували їх до встановлення керамічних коронок. З кожного зуба зняли відбитки та відправили до зуботехнічної лабораторії. Для захисту поставили тимчасові пластикові коронки, які також забезпечили доволі високий рівень естетики. Одночасно оглянули імпланти нижньої щелепи для контролю первинної остеоінтеграції.

      37 000 грн
  • Встановлення 11 керамічних коронок
    • Четвертий візит

      Виготовлення керамічних реставрацій зайняло 10 днів, після чого ми знову запросили пацієнта в клініку для постійного протезування. Спочатку зняли тимчасові коронки, підготували зуби за допомогою спеціальних засобів, просушили та ізолювали від слини. Далі встановили 11 керамічних коронок на якісний стоматологічний цемент із високим показником адгезії. У результаті отримали стабільний прикус, 100 % відновлення жувальної функції, нову усмішку та комфорт у повсякденному житті.

      121 000 грн
  • Постійне протезування All-on-4
    • П’ятий візит

      За 7 місяців пацієнт прийшов у клініку повторно, щоб встановити постійний протез на 4 імплантах. Після цього він зміг оцінити фінальний результат, який дала комбінована реабілітація із відновленням зубів верхньої та нижньої щелепи за сучасними методами.

      160 000 грн
Загальна вартість лікування
456 000 грн

Дані ціни були актуальні на день лікування. Вартість вашого лікування можна розрахувати після запису на консультацію та діагностику.

Лікуючий лікар:
Сіліваненко Олександр Григорович
Ортопед

Сіліваненко Олександр Григорович

21 рік досвіду 110 відгуків
Більше про лікаря
Відгук від пацієнтів:
Подібні історії:
before after

Дві щелепи на 6 імплантах (all-on-6), з цирконієвими коронками

чоловік 52 роки 14 візитів
Загальна вартість: 500 000 грн
Читати повністю
Перейти у розділ
Запишіться
прямо зараз на консультацію

Вкажіть свій номер телефону, ми передзвонимо і підберемо для вас зручний час прийому.

    Записуючись на прийом ви даєте згоду на обробку своїх даних
    Doctor

    Або зателефонуйте нам самі:

    068 123 00 40 безкоштовно з мобільного
    close
    Записатись на прийом
    Наш менеджер звʼяжеться з Вами протягом 30хв

      Записуючись на прийом ви даєте згоду на обробку своїх даних
      Написати