Екзостоз після видалення зуба
Ціна від 2 000 грнЕкзостоз – доброякісний наріст на яснах, що формується з кістково-хрящової тканини. Це безпечне новоутворення, виникнення якого можуть провокувати різні причини. Воно зазвичай не спричиняє дискомфорту, однак іноді потребує хірургічного втручання для видалення. Тому далі розбираємося в особливостях цього захворювання.
Що таке екзостоз
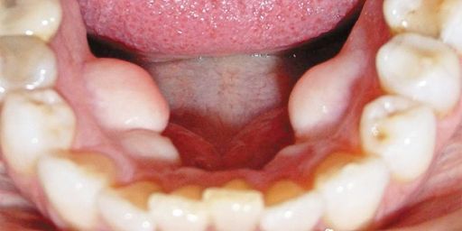
Кістковий екзостоз (остеофіт, кісткова шпора) має вигляд невеликої шишки на яснах. Новоутворення з кістково-хрящової чи кісткової тканини може з’являтися як на нижній, так і верхній щелепі. Точну причину виникнення екзостозів стоматологи назвати не можуть, але порушення може мати генетичну етіологію. У таких випадках розростання кісткової тканини в яснах відбувається через її гіпертрофованість і високу щільність. За спадкового чинника екзостоз виявляють у дітей у перші роки життя.
Серед інших ймовірних причин виникнення екзостозу:
- травми щелепи;
- гормональні збої;
- запущений пародонтит;
- системні захворювання організму, як остеопороз;
- неправильне загоєння кістки щелепи після перелому;
- метаболічні порушення, коли спостерігається накопичення кальцію;
- деформації щелепної кістки через запалення, дефекти прикусу, атрофію.
У цих випадках новоутворення може з’явитися в будь-якому віці.
Чому може виникнути екзостоз після видалення зуба
Екзостоз після видалення зуба – явище, що не має конкретного обґрунтування. Дані низки досліджень вказують на ймовірність появи кісткового наросту після видалення зуба в разі деяких супутніх несприятливих чинників. Це можуть бути особливості будови щелепи та стану кісткової тканини, запалення в яснах, інфекції ротової порожнини, ендокринні захворювання та гормональні порушення. Також розростання пояснюють еволюційними захисними механізмами в разі травми. А операція з видалення зуба – хоч і контрольоване втручання, однаково пов’язана з травмуванням кісткової тканини.
Симптоми екзостозу: що має насторожити
Зазвичай екзостоз на яснах проявляється незначно, тому новоутворення помічає не сам пацієнт, а стоматолог під час профілактичного огляду чи лікування інших хвороб зубів. Але в окремих випадках екзостоз проявляється характерними симптомами.
Насторожити має:
- формування наросту (шишки) на яснах із гладенькою чи шорсткою поверхнею;
- біль на ділянці новоутворення (залежить від локалізації та стадії екзостозу);
- порушення рухливості щелепного суглоба (якщо екзостоз у зоні СНЩС);
- відчуття наявності стороннього предмета в ротовій порожнині;
- локальна зміна кольору та набряк тканини ясен.
Біль може виникати на фоні того, що новоутворення з кістково-хрящової тканини стало причиною непрохідності судин та призвело до порушення місцевого кровообігу. Для екзостозу не характерне підвищення температури та нагноєння в яснах, адже це не інфекційне захворювання.
Особливості лікування екзостозу
Якщо було виявлено екзостоз, лікування завжди передбачає хірургічне видалення наросту, адже консервативна терапія в цьому випадку не може забезпечити бажаний результат. Багато пацієнтів, у яких екзостоз зуба не спричиняє дискомфорту та болю, вважають втручання для видалення новоутворення непотрібним. Однак стоматологи схиляються до необхідності своєчасного лікування наросту на яснах.
Без видалення екзостозу може спостерігатися:
- неконтрольоване розростання кістково-хрящової тканини;
- неможливість встановлення протезів зубів (також наріст може утворитися під протезом і порушувати щільність його посадки);
- переродження доброякісного новоутворення в злоякісне за певних обставин;
- поява больових відчуттів, коли є жувальне чи інше механічне навантаження;
- обмеження функціональності щелепного суглоба, якщо наріст розташовується біля СНЩС (неможливість повністю відкрити рот чи зімкнути зуби);
- зниження естетики в разі утворення екзостозу в зоні усмішки.
Якнайшвидше хірургічне втручання з видалення екзостозу рекомендується, якщо наріст має великий розмір (бувають понад 10 см у діаметрі) та продовжує рости, спричиняє біль під час жувального навантаження та чищення зубів, погіршує гігієну ротової порожнини, провокує дефекти прикусу та проблеми в роботі щелепного суглоба. Також лікування екзостозу проводиться з естетичних міркувань, для правильного вживлення імплантів, встановлення протезів чи брекет-системи.
Видалення екзостозу та яснах, як і інші хірургічні втручання, заборонені в разі активної форми туберкульозу, декомпенсованих захворювань серцево-судинної системи, важких стадій остеопорозу, онкопатологій, серйозних хвороб органів дихання та ЦНС. Раніше видалення новоутворення не рекомендувалося пацієнтам із цукровим діабетом. Однак сучасні операційні протоколи знімають це протипоказання, якщо рівень глюкози в крові перебуває в межах норми.
Як відбувається видалення екзостозів
Хірургічне видалення екзостозів потребує правильної підготовки, щоб забезпечити оптимальний результат втручання та мінімально травмувати здорові тканини. Якщо екзостоз на яснах невеликого розміру, не росте та не спричиняє дискомфорту, лікар може просто порекомендувати контроль новоутворення на профілактичних оглядах. У випадках, коли наріст є явною проблемою, без видалення не обійтися.
Екзостоз лікують за таким протоколом:
- Комплексне обстеження ротової порожнини для встановлення локалізації та розміру новоутворення, а також виявлення можливих протипоказань.
- Підготовка порожнини рота, щоб запобігти інфікуванню операційного поля (професійна чистка зубів і санація).
- Розрізання та відшарування тканин ясен для отримання доступу до наросту.
- Спилювання новоутворення спеціальним інструментом і шліфування кістки.
- Зашивання надрізу на яснах.
- Знімання швів після загоєння тканини.
Залежно від місця утворення та розміру кісткового наросту операція з його видалення триває від 30 хвилин до 2 годин. Нормальною реакцією організму є післяопераційний набряк і больові відчуття. Для покращення стану стоматолог призначає знеболювальні.
Щоб загоєння після операції відбувалося швидше, рекомендується:
- дотримуватися ретельної, однак щадної гігієни (не можна торкатися швів зубною щіткою та використовувати пасту з абразивом);
- проводити антисептичну обробку ротової порожнини за призначеннями лікаря;
- мінімізувати жувальне навантаження;
- утримуватися від вживання надмірно гарячої та холодної їжі;
- виключити тренування та важкі фізичні навантаження в післяопераційний період;
- не ходити в баню, сауну та не приймати занадто гарячу ванну.
Після видалення новоутворення на яснах треба відвідувати стоматолога для контролю загоєння тканин. Лікар визначить, коли можна знімати шви, та дасть рекомендації для подальшого догляду.
Як мінімізувати ризики розвитку екзостозу
З огляду на те, що кістково-хрящовий екзостоз на яснах має ідіопатичний характер, не можна назвати на 100 % дієві профілактичні заходи. Якщо наріст виникає не через спадкові чинники в дітей молодшого віку, то ризики його утворення впродовж життя можуть бути в кожної людини. Тому завжди важливо дбати про гігієну порожнини рота та не забувати про профілактичні огляди в стоматолога (не рідше 1 разу на 6 місяців), щоб виявити екзостоз на ранній стадії, коли він не може нашкодити зубам, щелепним суглобам та іншим структурам.
Запишіться на консультацію до кваліфіковано стоматолога клініки Ukrainian Dentist Club, якщо ви маєте відчуття стороннього предмета в ротовій порожнині, помічаєте біль під час жування, не можете повністю відкрити рот чи страждаєте від інших симптомів. Наші лікарі гарантують проведення комплексної діагностики й ефективної терапії відповідно до виявленої проблеми.
Чому виникає екзостоз?
Екзостоз має ідіопатичну (нез’ясовану) природу. Однак його появу можуть провокувати генетичні чинники, травми та деякі захворювання ротової порожнини.
Як видаляють екзостози?
Видалення екзостозу відбувається хірургічним методом.
Що таке кістково-хрящовий екзостоз?
Екзостоз – доброякісне новоутворення, що виникає через розростання кісткової та хрящової тканини.
Чи боляче видаляти екзостоз?
Наріст видаляється під анестезією, тому пацієнт не відчуває болю. Для полегшення стану в післяопераційний період стоматолог обов’язково прописує знеболювальні.



