Чорніють зуби: що робити
Ціна від 1 800 грнЧорні зуби – дефект, що псує не тільки посмішку, а й зовнішність загалом. Крім того, потемніння зубів часто спричиняє і неприємний запах із ротової порожнини. Із цією проблемою необхідно боротися з допомогою стоматолога, адже тільки лікар може точно визначити причину, чому чорніє зуб, і призначити відповідне лікування.
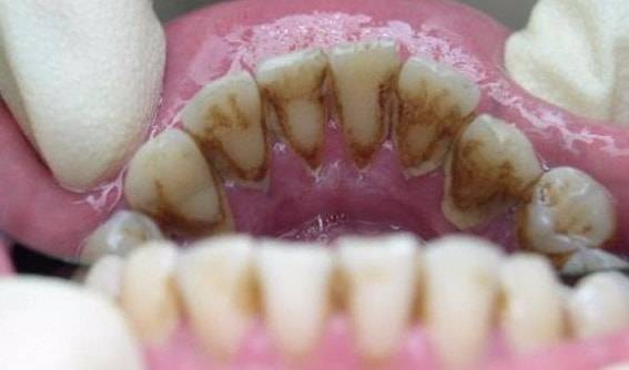
Про що свідчить почорніння зубів
Колір зубів – генетично зумовлена характеристика. Попри думку багатьох людей, за відтінок відповідає не емаль, а дентин – тверда тканина, що знаходиться під емаллю. Він практично ніколи не буває білим, а варіюється від кремово-білих до сірих тонів. Але емаль теж впливає на колір зубів, адже чим вона прозоріша, тим краще крізь неї видно дентин. Крім того, шар емалі стоншується під впливом вікових змін, саме тому зуби природним чином темнішають у літніх людей.
Почорніння на зубах – не лише естетичний недолік, а й сигнал про захворювання зубів. Найчастіше темні плями свідчать про карієс, який руйнує зуби та водночас може призвести до запалення ясен. Навіть якщо це просто пігментований наліт чи зубний камінь, відкладення є ідеальним середовищем для розвитку патогенної мікрофлори, яка надалі спричинятиме пошкодження коронки зуба та безліч інших проблем.
Зуб може бути живим чи без нерва, переднім чи жувальним, постійним чи молочним, але якщо ви помітили чорне на зубах, необхідно відразу звернутися до стоматолога чи запланувати візит для дитини. Потемніння коронки може свідчити про захворювання, що призведе до погіршення стану ротової порожнини та навіть втрати зубів.
Чому чорніють зуби
Чорніють зуби на всіх ділянках зубного ряду, тому це може бути чорний різець, ікло, моляр, кілька одиниць чи всі зуби одразу. Темні плями стають наслідком зовнішніх чи внутрішніх чинників. Саме тому важливе своєчасне звернення до стоматолога.
Серед зовнішніх причин почорніння зубів:
- незадовільна гігієна ротової порожнини;
- пігментація емалі харчовими барвниками;
- паління (спочатку зуби жовто-коричневі, а потім чорні);
- антибіотикотерапія препаратами тетрациклінового ряду;
- постійний контакт із важкими металами на шкідливих виробництвах;
- проходження променевої чи хімієтерапії (чорні плями через надлишок фтору).
Серед внутрішніх причин, чому чорніє зуб:
- карієс і його ускладнення;
- пігментований наліт і зубний камінь;
- наявність старої пломби, яка потемніла із часом;
- пошкодження судин, що живлять зуб, внаслідок травми;
- вторинний карієс під пломбою (чорні смуги на межі реставрації);
- проведене ендодонтичне лікування, коли зуб був депульпований;
- вікові зміни, коли емаль стоншується і крізь неї краще видно дентин.
Причиною, чому чорніють зуби зсередини, часто є глибокий карієс, пошкодження кореня або відсутність притоку поживних речовин після того, як зуб депульпували. У дитини чорні молочні зуби можуть вказувати на проблеми із загальним станом здоров’я. Серед розповсюджених проблем: дисбактеріоз, дефіцит кальцію, порушення роботи ШКТ, надлишок фтору, грибкові інфекції, ослаблення імунітету.
Чому з’являються чорні зуби в дорослих і дітей
У дорослому віці чорні зуби найчастіше стають наслідком паління, ігнорування правил гігієни та різних захворювань, серед яких карієс, запалення ясен, пульпіт тощо. Якщо регулярно не відвідувати стоматолога для поточного лікування та професійної чистки, зубний камінь, що накопичується на поверхні емалі, стає хронічним вогнищем інфекції. Звідси різні захворювання, чорні плями та неестетичний колір зубів загалом.
У дитини чорний зуб – це зазвичай карієс, адже дитяча емаль тонка та має підвищену схильність до каріозних уражень. Якщо зуб почорнів біля ясен, це може бути нальотом Прістлі. Такі чорні плями – ознака адаптації травної системи до дорослої їжі. Цей чорний наліт потребує видалення, адже під ним може розвинутися карієс і призвести до передчасної втрати молочних зубів.
Як позбутися почорніння зубів
Якщо почорнів зуб, треба звернутися до стоматолога, щоби пройти діагностику та почати лікувати виявлену проблему. Інакше зуб може повністю зруйнуватися.
Аби прибрати почорніння та покращити колір зубів, може знадобитися:
- Лікування. Залежно від діагнозу пацієнту потрібно буде лікувати зуб від карієсу, пульпіту, періодонтиту чи іншого захворювання.
- Професійне чищення зубів. Комбінація ультразвукової та технології Air Flow дає 100% ефект видалення відкладень, через які формувалися чорні плями.
- Відбілювання. Сучасні методи дають змогу висвітлити колір зубів на 8-10 тонів, а відбілювання Beyond ще й гарантує безпеку.
- Реставрація. Якщо чистка та відбілювання зубів неефективні для видалення почорніння, у стоматолога можна підібрати варіант естетичної корекції, зокрема замаскувати чорний зуб коронкою чи вінірами.
Головне, не намагатися прибрати плями сумнівними методами в домашніх умовах, щоб не травмувати зуб, адже потім його треба буде довго лікувати чи навіть видалити.
Профілактика почорніння зубів
Щоб не почорніли зуби, необхідно дотримуватися ретельної гігієни порожнини рота, відмовитися від паління та надмірного вживання пігментованих продуктів і напоїв, прибрати з раціону високовуглеводну їжу та солодощі. Якщо розболівся зуб, потрібно негайно звернутися до лікаря. Не можна також забувати про профілактичні огляди, а професійно чистити зуби в стоматолога треба кожних 6 місяців.
Питання-відповідь
Про що свідчить чорний зуб?
Чорний зуб може бути наслідком накопичення пігментованих відкладень або свідчити про захворювання, зокрема карієс. Іноді до почорніння призводить надлишок фтору в організмі чи проходження специфічного лікування.
Що робити, якщо почорнів зуб?
Чорний зуб – привід якнайшвидше звернутися до стоматолога для діагностики та проходження відповідного лікування. Намагатися прибрати потемніння самостійно не можна, щоб ще більше не пошкодити зуб.
Чому з’являється чорне на зубах?
Чорні плями на зубах виникають через різні внутрішні та зовнішні чинники: від карієсу до контакту із важкими металами. Саме тому потрібно звернути до стоматолога для визначення точної причини проблеми.


