Чорні плями на зубах
Ціна від 1 800 грнЧорні плями на зубах – естетична проблема, що може мати різні причини та негативні наслідки. Зазвичай потемніння утворюються через генетичні чинники, карієс, флюороз чи інші стоматологічні захворювання, вікові зміни, приймання деяких ліків, паління. Але є і неочевидні причини, чому з’являються темні пігментні плями. Визначити їх може тільки стоматолог, тому не варто відкладати візит до спеціаліста.
Кому найчастіше властиві чорні плями на зубах
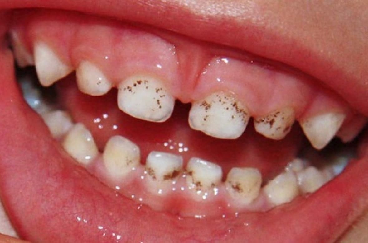
Чорні зуби в дітей називаються нальотом Прістлі. Зазвичай потемніння локалізуються з внутрішнього боку молочних зубів і з’являються у віці 1-3 років. Типові причини – це неправильна чи недостатня гігієна або погіршення загального стану здоров’я. Однак точно визначити це та призначити оптимальне лікування здатен лише стоматолог.
Чорний наліт на зубах у дорослих зазвичай також пов’язаний із поганою гігієною порожнини рота, деякими загальними хворобами чи схильністю до карієсу. Темні плями – проблема, що турбує всіх курців, адже в складі цигарок багато компонентів, які не тільки фарбують, а і травмують емаль, через що її колір ще більше змінюється.
Чорний наліт на зубах: причини утворення
У разі нерегулярної та неправильної гігієни порожнини рота чорні зуби з’являються не відразу. Спочатку на зубах накопичується м’який жовтий наліт. Поступово він твердне та пігментується. Особливо активно темні плями формуються за частого вживання кави та міцного чорного чаю, кольорових газовонок і солодощів, чорних і червоних ягід, а також куріння. Коричнева та чорна емаль – типова проблема не лише за паління класичних цигарок, а й жування тютюну. Крім того, ця шкідлива звичка загрожує не тільки естетиці усмішки, адже може спровокувати розвиток раку слизових оболонок порожнини рота.
Інші причини, чому на зубах чорний наліт у дорослих:
- Карієс. Захворювання вражає емаль і поступово руйнує глибокі тканини зуба. В усіх випадках характерна ознака патології – темні плями.
- Зміни структури зубної емалі. Емаль може змінюватися через вікове стирання, загальні захворювання організму, механічні та хімічні пошкодження тощо.
- Бактерії. Патогенні мікроорганізми, що живуть у порожнині рота, харчуються часточками їжі та виділяють продукти життєдіяльності. Це може пігментувати наліт, навіть якщо емаль ще не почала руйнуватися.
- Високий вміст фтору у воді. Надлишок фтору в питній воді – причина розвитку флюорозу. Типова клінічна картина захворювання, коли на зубах утворюються жовті та коричневі плями, що поступово змінюють колір на чорний.
До почорніння зубів іноді призводить приймання деяких медикаментів. Зокрема, це можуть бути препарати заліза, що необхідні в курсі лікування анемії. Також чорні пігментні плями утворюються через специфіку професії в людей, які часто контактують із марганцем, сріблом, залізом і важкими металами.
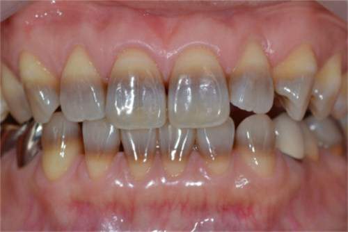
Типи чорних плям на зубах
Кваліфікований стоматолог часто здатен визначити причини проблеми за характером розташування, розміром, формою та іншими ознаками почорніння на зубах. Зокрема, темні плями можуть мати чіткий чи розмитий контур, локалізуватися вздовж ясенного краю чи вкривати інші ділянки зуба, призводити до утворення дірок тощо.
Розповсюджені стоматологічні проблеми за типом потемніння:
- Флюороз. Крапки та чорні полоски на зубах.
- Паління, неякісна гігієна, надмірне вживання кави, міцного чорного чаю та вина. Коричневий наліт, яким найбільше вкрита внутрішня поверхня зубів.
- Неякісне пломбування. Темні плями по контуру пломби.
- Вікові зміни. Тьмяна емаль з ознаками стирання та руйнування.
- Карієс. Чорні цятки на зубах, ігнорування яких призводить до розширення та поглиблення дефекту з ураженням глибоких шарів дентину та пульпи.
- Запалення пульпи чи неякісне ендодонтичне лікування. Сірий або коричневий відтінок, якого набув окремий зуб.
Утворення сіро-блакитних, жовтих чи коричневих цяток, смужок чи плям різної форми та локалізації може супроводжувати курс терапії препаратами зі вмістом тетрацикліну. Цей антибіотик призводить не лише до пігментації, а й руйнування емалі. У стоматології є спеціальний термін, що називає клінічні зміни в таких випадках – тетрациклінові зуби.
Методи видалення чорних плям
Оптимальний метод видалення потемніння стоматолог визначає відповідно до причини його появи. Якщо проблема виникла через накопичення пігментного нальоту та зубного каменю, найкращий спосіб – професійне чищення зубів. Комбінація ультразвукового методу та технології Air Flow дає змогу прибрати відкладення та відполірувати емаль для уповільнення процесу їхнього повторного утворення.
Якщо чорний наліт на зубах у дітей та дорослих спричиняє карієс, флюороз, пульпіт чи інші захворювання порожнини рота, стоматолог призначає відповідне лікування. Це може бути пломбування, ендодонтична терапія, видалення зуба з протезуванням для відновлення одиниці тощо. У випадках, коли поверхня емалі сильно забарвлена та не реагує на професійну чистку та відбілювання, рекомендується естетична реставрація коронками чи вінірами. Вона дає змогу прибрати або якісно замаскувати зміни.
Домашні засоби боротьби з потемнінням зубів
Найчастіші причини проблеми – недостатня гігієна порожнини рота, паління, вживання продуктів, що сильно фарбують емаль. У таких випадках можуть допомогти спеціальні відбілювальні пасти та капи. Однак спершу потрібно, щоб стоматолог провів огляд та підібрав найефективніші гігієнічні засоби, що не нашкодять емалі. Якщо чорні зуби в дитини, то батькам необхідно контролювати процес чищення зубів. Як натуральний засіб відбілювання можна застосовувати полоскання ефірними оліями (м’яти, гірчиці, кокоса тощо), зеленим чаєм, настоєм із листя базиліку, розчином соку лимона (1 ч. л. на 1 склянку теплої води).
Як уникнути чорних плям на зубах
Щоб темні плями не псували усмішку, потрібно спершу усунути найочевидніші причини. Варто відмовитися від паління, напоїв та їжі зі штучними барвниками, кави, вина тощо. Поверхня зубів часто страждає від карієсу, котрий провокують солодощі, газованки з високим вмістом цукру, випічка та високовуглеводні продукти, тому їх треба прибрати з раціону. Потрібно щодня чистити зуби двічі на день із використанням ополіскувача та зубної нитки. У випадках, коли потемніння спричинені хворобами порожнини рота, стоматолог має призначити та провести відповідне лікування.
Профілактика чорних плям для різних вікових груп
Незалежно від вікової групи профілактика передбачає щоденне ретельне чищення зубів. Чорні плями на зубах у дитини часто стають результатом невміння правильно користуватися щіткою та ниткою, а в підлітка – ігнорування основ особистої гігієни. Тому завдання батьків – контролювати ці процеси. Стоматолог – обов’язково 1 раз на пів року як дорослим, так і дітям. Водити дитину до лікаря потрібно вже після прорізування перших 8-10 молочних зубів.
Чи можна видалити чорні плями без відвідування стоматолога?
Все залежить від причини потемніння зубів. Іноді допомагає ретельна гігієна ротової порожнини та застосування відбілювальних засобів, але рекомендується відвідування стоматолога для діагностики проблеми.
Які методи відбілювання можуть бути ефективними для усунення чорних плям?
Високий ефект показує професійне чищення з комбінацією ультразвукової та технології Air Flow. Процедура дає змогу ефективно прибрати пігментований наліт і зубний камінь.
Чи є зв’язок між чорними плямами та прийомом заліза чи інших мінералів?
Потемніння зубів може бути наслідком приймання препаратів заліза під час лікування анемії.
Як чорні плями впливають на здоров’я ясен і ротової порожнини загалом?
Якщо чорні плями є симптомом карієсу, флюорозу чи інших стоматологічних хвороб, то відсутність терапії може призвести до запалення ясен і слизової, руйнування твердих тканин зуба, порушень прикусу, втрати зубів тощо.
Чи можуть зубні пасти та ополіскувачі допомогти в профілактиці чорних плям?
Правильно підібрані щітка, зубна паста, ополіскувач та нитка допоможуть підтримувати здоров’я ротової порожнини, що є базовою профілактикою утворення чорних плям.



